http://dx.doi.org/10.5762/KAIS.2014.15.2.934
Journal of the Korea Academia-Industrial cooperation Society Vol. 15, No. 2 pp. 934-939, 2014

네발기기자세에서 어깨관절과 엉덩관절의 각도 변화에 따른 근 두께 변화

Jong-Man Han1, Keum-Sook Kim2*
1 전남과학대학교 물리치료과, 2 혜전대학교 작업치료과
1 Dept. of Physical Therapy, Chunnam Techno University

Abstract

The purpose of this study unit a Quadrupedal position of limbs due to changes in the thickness of the trunk muscles to find out, by comparing the difference in muscle activity fours spinal stabilization devices do you need to choose an effective stance is to provide the data. The subjects C # 29 University students healthy adults were recruited. The Rectus abdominis muscle and the transversus abdominis and internal oblique abdominal muscle, external oblique abdominal muscle should be measured. The results of this study Lt. IO, EO, TrA, Rt. TrA, Muscle showed significant differences among the positions. The study reveals that the exercises in Quadrupedal position can activate trunk muscles and the degrees of muscle activities can vary according to the angle. Key Words : Muscle density, Stabilized exercise, Ultrasonography
The change of muscle thickness in accordance with angle of shoulder joint and hip joint at the Quadrupedal position
요 약 본 논문은 네발기기 자세에서 사지의 각도 변화에 따른 몸통 근육들의 두께를 알아보고 근육활성의 차이를 비교하여 네발기기에서 행하는 척추 안정화를 위한 효과적인 자세를 선택하는데 필요한 자료를 제공하고자 한다 . 연 구대상은 건강한 대학생 29 명으로 하였다 . 실험을 위해서 배가로근과 배속빗근 , 배곧은근과 배바깥빗근을 측정하였다 . 근육의 두께측정 및 디지털 영상분석을 위한 초음파 영상 수집은 초음파 영상장치 (Mylav25gold, Esaote, Italy) 를 사용 하였다 . 연구결과 왼쪽 배바깥빗근과 배속빗근 , 배가로근 간 두께 변화와 오른쪽 배가로근의 두께 변화에 각도 간 의 유의한 차이가 있는 것으로 나타났다 . 이 연구는 근육활성의 정도와 몸통 근육들을 활성화하기 위해 네발기기자세에 서의 운동이 각도에 따라 다양한 결과를 보인다는 것을 나타낸다 .

1. 서론


   현대 사회에 많은 사람들이 근-골격계 통증을 호소하 고 있으며, 그 중 요통은 대표적인 통증 질환중 하나이다. 요통 중에서도 사회적으로 부정적인 영향을 미치는 것은 만성요통이며, 이것은 병리 역학적 기전의 결과로 발생된 다. 일반적으로 이것을 임상적 척추의 불안정성 (instability)이라 하며, 엉치신경통증의 원인이 되기도 한
* Corresponding Author : Keum-Sook Kim(Hyejeon College.) Tel: +82-41-630-5346 email: Received January 22, 2014 Revised January 29, 2014한종만 1 , 김금숙 2*
   2 Dept. of Occupational Therapy, Hyejeon College

    다[1]. 척추의 불안정성은 여러 연구자들의 노력에도 불구하 고 아직도 의견의 일치를 보이지 않고 있다. 이는 전문가 들의 관점이 서로 다르기 때문이다. 그러나 일반적으로 받아들여지는 가장 타당한 정의는 Panjabi(1992)가 제의 한 운동 분절의 강성도(stiffness)가 약해져 분절에 가해지 는 힘에 의해 정상적인 경우보다 과도한 운동이 일어난 다는 것이다[2]. Accepted February 5, 2014

   일반적으로 척추의 안정성은 몸통의 굽힘근과 폄근의 동시수축으로 증가되고, 증가된 탄성력과 함께 배부내의 압력으로 높아진다[3]. 모든 몸통근육들은 척추 안정화에 참여한다. 하지만 배가로근과 뭇갈래근 같은 심부 국소 안정화근육들의 수축은 core muscle라 하여 안정화에 많 이 관여한다. 특히 요통환자들은 척추 안정성에 중요한 역할을 하는 배가로근과 뭇갈래근의 기능의 이상으로 초 래된다[4]. 요통환자들에게서 배가로근과 뭇갈래근 같은 심부 체간 근육의 기능을 회복하기 위한 방법으로 요부 안정화 운동이 권장되고 있다. 안정화 운동은 체간 안정 화, 요부안정화, 중심부 안정화운동 혹은 동적 안정화 등 의 용어와 유사 동의어로 사용되고 있다[5]. 안정화 운동 은 안정성에 관여하는 근육들을 선택적으로 훈련시키며 초기에는 낮은 수준의 등척성 수축으로 시작하여 점진적 으로 일상동작을 할 수 있는 수준으로 통합 된다[6]. 안 정화 운동의 방법은 기본 운동에서 보다 진전된 운동으 로 진행한다. 초기단계에는 McGill (2003)에 의해 기술된 3가지 운동 즉, 몸통 웅크리기(curl-up), 측면 교량운동 (side bridge), 새 사냥개 운동(bird dog)도 같이 활용된다 [3]. 몸통 웅크리기 운동 전에 배꼽 넣기(abdominal hollowing)와 고정운동(bracing)은 웅크리는 동안 배가로 근과 배속빗근을 촉진할 수 있고, 새 사냥개 운동은 네발, 세발, 두발 기기자세로 진행될 수 있다. 이처럼 안정화 운동들은 다양한 체위에서 수행할 수 있다. 그러나 재활 과정에서 가장 흔하게 추천되는 것 중 하나는 손과 무릎을 지면에 지지하는 네발기기자세 (four-point kneeling position)에서 수행하는 것이다[7]. 네발기기자세는 상대적으로 다른 자세에 비해 척추에 가 해지는 하중을 줄이고 척추 중립자세로 쉽게 균형을 유 지할 수 있는 비항중력자세(non-anti gravityposture)이다 [3]. 이 자세에서는 내복사근의 하부섬유의 분리된 수축 이 엎드린 자세와 비교하여 보다 일관성 있게 성취될 수 있고, 국소 근육계(local system)의 재활 초기에 외적 하 중과 통증을 최소화하기 때문에 엎드린 자세와 함께 권 장되는 자세이다[8]. 더불어, 네발기기 자세에서 실시하 는 안정화 운동은 팔과 다리를 상호적으로 뻗어서 몸통 근육을 강화시키고[9], 특별한 체간 근육의 동원 패턴을 훈련할 수 있다. 이런 이점들 때문에, 네발기기 자세에서 실시하는 안정화 운동이 임상에서 널리 사용되고 있다. 네발기기자세에서 실시하는 안정화 운동을 하는 동안 몸 통 근육 안정화에 관여하는 근육의 활동을 비교 분석한 자료들이 부족한 편이다. 따라서 네발기기 자세에서 실시 하는 안정화 운동을 하는 동안 체간의 안정화에 관여하 는 근육의 활동을 비교 분석한 자료들이 부족한 편이므 로 본 연구는 네발기기 자세에서 사지의 각도 변화에 따

   른 몸통 근육들의 두께를 알아보고, 근육활성의 차이를 비교하여 네발기기에서 행하는 척추 안정화를 위한 효과 적인 자세를 선택하는데 필요한 자료를 제공하고자 한다.

2. 본론


   2.1 연구대상 본 연구의 대상자는 남자15명 여자 14명, 총 29명의 건강한 성인을 대상으로 하였고, 연구의 목적 및 방법에 대한 설명을 들은 후, 실험에 자발적 참여를 동의한 실험 군을 대상으로 실시하였다. 연구 기간은 2013년 4월 1일 부터 5월 30일까지 실시하였다. 자세를 수행 하는 동안 상 · 하지에 통증이 있거나 지난 6개월 동안 요통을 경험 한자, 신경학적 문제 그리고 기능제한이 있는 대상자는 제외시켰다. 대상자들은 실험 전 자세 유지가 익숙해지도 록 3일간 10분씩 연습을 하였고, 한 사람 당 5회 반복 측 정을 실시하였으며, 당일 네발기기자세를 수행 하지 못하 면 제외시켰다. 연구대상자의 일반적 특성은 Table 1과 같다. [Table 1] General characteristic of subjects. M ±SD N Sex (male/female) 15/14 29 Age (years) 22.62±2.30 29

   2.2 실험방법 2.2.1 측정위치와 정규화과정 배가로근과 배속빗근은 위앞엉덩뼈가시(ASIS)와 나란 하게 하여 안쪽으로 2cm, 아래쪽으로 2cm 지점에서 측정 하였다[10]. 배곧은근은 배꼽에서 가쪽으로 1cm, 아래쪽 으로 2cm 되는 지점에서 측정하였고, 배바깥빗근은 반대 편 두덩뼈결절과 갈비뼈모서리 가장 아래쪽을 연결하는 선을 따라 아래쪽 모서리에 대각선 방향으로 측정하였다 [11]. 네발기기 자세에서 왼쪽어깨는 굽힘 오른쪽 골반은 편 상태를 유지시키고 실험자 2명이 피 실험자의 각각 왼쪽 어깨와 오른쪽 골반의 각도를 각도계로 측정하여 0°, 45°, 90°로 고정시킨 후 실험 자 한 명이 촬영하였으며, 가변 성을 최소화하기 위해서 각각 실험자들이 역할은 분담하 여 하였다. 또한 초음파 도자 측정은 주관적인 요인을 배

   제하기 위해 측정자를 한 명으로 고정하여 측정하게 하 였고 측정은 5초간 3회 반복 측정하며, 각 측정마다 5초 휴식하고 다른 근육을 측정 사이에는 2분의 휴식을 주었다. 2.2.2 실험절차 실험 전에 일차적으로 모든 대상자들에게 실험 조건을 충분히 설명하고 3번의 연습경험을 하게 하였고, 첫 번째 피 실험자가 네발기기 자세에서 왼쪽어깨 0°, 오른쪽 골 반0°의 자세를 유지(0°= 지면과 팔과 다리가 90°인 상태) 시켰다. 두 번째 네발기기 자세에서 왼쪽어깨 45°굽힘. 오른쪽 골반 45° 폄 자세를 유지 시켰다. 세 번째 네발기 기 자세에서 왼쪽어깨 90°굽힘. 오른쪽 골반 90° 폄 자세 를 유지 시켰다. 모든 운동은 3번 반복측정, 5초 휴식하 고 각 실험마다 2분의 휴식을 취하였다. 모든 실험과정은 가변성을 감소하기 위해 각각 실험자가 역할은 분담하였 으며 각 관절의 각도는 goniometer 각도계를 사용하였다. 2.2.3 운동방법 운동방법은 피 실험자가 왼쪽 어깨를 0°, 오른쪽 골반 을 0°일 때를 기본자세로 잡고, 각각 45°, 90°의 세 가지 각도를 유지시켰다. 2.3 측정 방법 2.3.1 초음파영상 측정 근육의 두께측정 및 디지털 영상분석을 위한 초음파 영상 수집은 초음파 영상장치(Mylav25gold, Esaote, Italy) 를 사용하였으며, 이 장치의 변조범위는 6~12 MHz .이고, gain의 범위는 20~80이다. 초음파영상 측정에 사용된 초 음파변환기는 10 MHz 선형탐촉자linear transducer)이며, gain(G55)과 dynamic range(C04)는 고정된 값으로 모든 검사에서 동일하게 적용하였다.

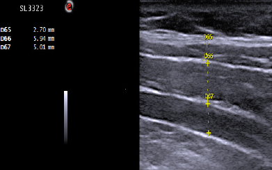
   [Fig. 1] Ultrasonography-thickness of abdominalis (D65:external oblique abdominalis, D66:internal oblique abdominalis, D67:transvers abdominalis)

   2.3.2 자료 분석 네발기기 자세에서 실시하는 3가지 자세 변화에 따른 근육들의 두께 변화 차이를 비교하고자 일원배치분산분 석(one-way ANOVA)을 실시하였고, 사후분석은 다중비 교로 하였으며, 수집된 자료는 SPSS 12.0을 사용하였다. 통계학적 유의성을 검정하기 위해 유의수준 α=0.05로 하 였다.

3. 결과


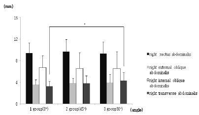
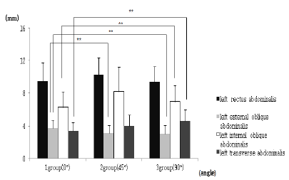
   1. 각도 변화에 따른 왼쪽 근섬유의 두께변화 배곧은근 왼쪽섬유의 두께 변화에 대한 각도 간에 유 의한 차이가 없는 것으로 나타났다(p>0.05). 왼쪽 배바깥 빗근의 두께 변화에 대한 각도 간에 유의한 차이가 있는 것으로 나타났으며(p<0.05), 사후검정 결과 1군, 2군, 3군 에선 유의한 차이가 있었으며(p<0.05) 2군과 3군에선 유 의한 차이가 없는 것으로 나타났다(p>0.05). 왼쪽 배속빗 근의 두께 변화에 대한 각도 간에 유의한 차이가 있는 것 으로 나타났으며(p<0.05), 사후검정 결과 1군과 2군에선 유의한 차이가 있었으며(p<0.05), 1군과 3군에선 유의한 차이가 없으며, 2군과 3군에서도 유의한 차이가 없는 것 으로 나타났다(p>0.05). 왼쪽 배가로근의 두께 변화에 대 한 각도 간의 유의한 차이가 있는 것으로 나타났으며 (p<0.05), 사후검정 결과 1군과 3군에선 유의한 차이가 있었으며(p<0.05) 1군과 2군에선 유의한 차이가 없으며, 2군과 3군에서도 유의한 차이가 없는 것으로 나타났다 (p>0.05). 2. 각도 변화에 따른 오른쪽 근섬유의 두께변화 배곧은근 오른쪽섬유의 두께 변화에 대한 각도 간에 유의한 차이가 없는 것으로 나타났다(p>0.05). 오른쪽 배 바깥빗근의 두께 변화에 대한 각도 간에 유의한 차이가 없는 것으로 나타났다(p>0.05). 오른쪽 배속빗근의 두께 변화에 대한 각도 간에 유의한 차이가 없는 것으로 나타 났다(p>0.05). 오른쪽 배가로근의 두께 변화에 대한 각도 간의 유의한 차이가 있는 것으로 나타났으며(p<0.05), 사 후검정 결과 1군과 3군에선 유의한 차이가 있었고 (p<0.05) 1군과 2군에선 유의한 차이가 없으며, 2군과 3 군에서도 유의한 차이가 없는 것으로 나타났다 (p>0.05)[Table 2].

   [Table 2] Changes according to the angle of each group changes in abdominal muscle thickness Group F P 1 (0°) 2 (45°) 3 (90°) 9.47 10.26 9.40 Lt. 1.526 .223 Rectus ±2.28 ±2.07 ±1.89 abd. 9.38 9.71 9.31 Rt. .294 .746 ±1.93 ±2.25 ±2.13 Ext. Lt. 3.69 3.07 3.05 7.240 .0012 ±0.70 ±0.64 ±0.82 oblique 3.54 3.83 3.93 abd. Rt. ±0.88 ±0.88 ±1.55 .870 .423 Int. Lt. 6.27 8.22 6.95 5.141 .0081 ±1.94 ±2.95 ±2.02 oblique 6.73 6.56 6.53 abd. Rt. ±2.25 ±2.91 ±3.15 .042 .959 3.38 4.02 4.53 Lt. 6.046 .0041 Trans. ±1.03 ±1.29 ±1.42 abd. 3.21 3.80 4.24 Rt. 4.431 .0151 ±0.93 ±1.38 ±1.55 Statistically significant at the level of p<0.051, p<0.012
[Fig. 2] Changes according to the angle of the left abdominal muscle thickness change **p<0.01 Values are mean ± SD[Fig. 3] Changes according to the angle of the right abdominal muscle thickness change *p<0.05 Values are mean ± SD

4. 결론 및 토의


   현재 많은 연구자들이 네발기기 자세에의 배부근육에 관심을 두고 있고, 배 근육을 선택적으로 강화시킬 수 있 는 방법에 대하여 연구하고 있다. 임상적으로 네발기기 자세에서의 배부근육의 운동에 대한 연구는 미흡한 실정 이다. 따라서 본 연구는 연구 대상자를 남자 15명, 여자 14명으로 정하여 네발기기 자세에서의 사지의 각도에 따 라 배부근육의 활성도 차이를 유형으로 나누어 각 자세 를 유지하는 동안 배 근육의 근 활성도의 변화를 초음파 영상장치를 이용하여 알아보았다. 허리뼈부의 근육은 배 곧은근, 배속빗근과 배바깥빗근, 배가로근이 존재한다. 배곧은근 안정화 기능은 골반의 앞기울임(anterior tilt)에 대응하는 안정성을 제공하며 뒤로 굽힐 때 긴 버팀 밧줄 의 안정성을 제공한다. 배속빗근과 배바깥빗근의 안정화 기능은 척추의 뒤쪽굽힘이나 가쪽굽힘을 일으킬 수 있는 외부의 부하를 조절하며 골반의 앞기울임에 대응하는 안 정성을 제공하며 압박력을 증가시켜 척추가 견고하도록 수축시킨다. 또한 내부 배압을 증가시키기 위해 배가로근 과 함게 수축하고, 부하가 걸리지 않은 척추의 등허리뼈 널힘줄에 긴장이 생긴다. 배가로근의 안정화 기능은 등허리뼈 널힘줄을 거쳐 긴 장이 생기고, 분절단위의 안정성을 제공하기 위해 내부 배압을 증가시킨다. 척추의 깊은 부분 안정화를 위해 짧 아지는 쪽으로 작용한다. 배곧은근은 백색선에 의해 오른 쪽 절반과 왼쪽 절반으로 나누어진다. 오른쪽과 왼쪽의 각 배곧은근은 세로로 주행하며, 앞 배곧은근집과 뒤 배 곧은근집 사이에 형성된 열려진 공간을 통해 올라갈 때 넓어진다. 배바깥빗근은 가쪽 배근육들 중에서 가장 크고 가장 얕은 곳에 위치한 근육이다. 배바깥빗근은 대각선 방향으로 아래와 안쪽방향으로 주행한다. 배속빗근은 배 바깥빗근의 바로 깊은 쪽에 위치하고, 가쪽 배근육들 중 두 번째 층을 형성하고 있다. 배가로근은 배근육들 중 가 장 깊은 쪽에 위치하고 있다. 이 근육은 등허리근막과의 부착을 통해 허리의 안정화는 물론 배를 압박하는 역할 을 반영하여 “코르셋 근육”이라고도 알려져 있다. 배곧은근과 배빗근육들의 양쪽 작용은 칼돌기와 두덩 결합 사이의 거리를 감소시킨다. 어느 신체분절이 더욱 안정적인가에 따라, 이러한 배 근육들의 양쪽 수축은 가 슴과 위쪽 허리뼈의 굽힘, 골반의 뒤기울임, 또는 두 움직 임 모두를 유발할 수 있다. 배가로근의 작용은 다른 배 근육들을 위한 부착부위의 안정화, 배안의 압박, 등허리 근막의 장력 증가를 시킨다. 초음파 영상장치를 이용하여 배가로근의 활성도를 측정하는 것에 대한 논란은 존재한 다. 하지만 김정훈, 이완희와 이재구(2008)의 연구를 보

   면, 표면 근전도를 이용하여 배가로근의 활성도를 측정하 는데 높은 신뢰도를 보였고[8], 배가로근과 배속빗근의 주행 방향이 겹치는 부분이 존재하기 때문에 함께 측정 하는 것을 권장하였다. 이런 연구를 참고하여 초음파 측 정에서 배가로근 / 배속빗근의 측정을 참고 하여 측정을 하여 차이를 보였다. 본 연구의 왼쪽 배바깥빗근은 1군과 2군, 1군과3군에서 유의한 차이를 보였다. 배바깥빗근은 배가로근/배속빗근에 비해 상대적으로 높은 근 활동 보 였다. 이는 운동의 난이도가 높아질수록 같은쪽과 반대쪽 사지들을 들어 올리면서 발생하는 척추의 회전을 조절하 고[12] , 중립적인 척추의 위치를 유지하는데[13], 배바깥 빗근이 더 많은 수축하기 때문인 것으로 보인다. 왼쪽 배 속빗근은 1군과 2군에서 유의한 차이를 보이고, 왼쪽배 가로근/오른쪽 배가로근은 1군과3군에서 유의한 차이를 보였다. Kisner C, Colby L.(1996)은 사지의 균형을 저해 하는 외적 하중은 몸통근육의 활동을 증가시키고, 이것은 척추의 안정성을 유지하는데 기여한다고 하였다[14]. 네 발기기 자세에서 복부 장기들이 앞쪽으로 이동하여 심부 복부 근육이 신장되어 있는 상태에서 불균형한 사지의 움직임에 의해 가해진 하중이 근육의 신장 수용기에 더 많은 피드백을 주어 배가로근 / 배속빗근의 운동신경원 의 흥분을 증가시켜 척추의 안정성을 유지하기 위한 것 으로 생각된다. 네발기기 자세에서 근 두께의 변화는 1군과 2군의 차 이는 왼쪽의 배속빗근 배바깥빗근 배곧은근 배가로근의 근 두께의 증가가 나타났다. 3군에서는 1군보다는 증가 하였지만 2보다는 낮은 증가를 보였다. 이 결과로 보아 네발기기 자세에서 자세 2가 가장 큰 두께의 변화를 보였 다. 자세 2일 때 자세 3보다 근육의 두께가 가장 중첩되 기 떄문인 것으로 생각된다. 이처럼 네발기기에서 실시하 는 각도에 따른 변화는 근 두께를 매우 다양하게 나타났 다. 그러므로 네발기기에서 근 두께를 효율적으로 증진시 키기 위해 대상자의 상태와 목적에 따른 바람직한 자세 를 선택하는데 많은 도움이 되었으면 한다[11].

References

  • [1] J. Keller, R. Brox, I. Gunderson. “Trunk muscle strength, cross-sectional area, and density in patients with chronic low back pain rendomized to lumbar fusion or cognitive intervention and exercises”. Spine, 29: 3-8, 2004. DOI: http://dx.doi.org/10.1097/01.BRS.0000103946.26548.EB
  • [2] M. Panjabi,. “The stabilizing system of spine : Part 1. Function dysfunction, adaptation, and enhancement”, J Spinal Disord, 5: 383-389, 1992. DOI: http://dx.doi.org/10.1097/00002517-199212000-00001
  • [3] S. McGil, S. Grenier, N. Kavicic, et al. “Coordination of muscle activity to assure stability of the lumbar spine”. Jounnal of Electromyography and Kinesiology, 13: 353-359, 2003. DOI: http://dx.doi.org/10.1016/S1050-6411(03)00043-9
  • [4] P. Hodges, C. Richardson, “Inefficient muscular stabilization of the lumbar spine associated with low-back pain a motor evaluation of transversus abdominis”. Spine, 21: 2640-2650, 1996. DOI: http://dx.doi.org/10.1097/00007632-199611150-00014
  • [5] V. Akuthota, S. Nadler, “Core Strengthening”, Arch Phys Med Rehabil., 85: S86-S92, 2004 DOI: http://dx.doi.org/10.1053/j.apmr.2003.12.005
  • [6] D. Behm, K. Anderson, R. Curnew, “Muscle force and activation under stable and unstable condition”, Journal of Strenght and Conditioning Rese arch. 16: 416-422, 2002.
  • [7] C. Smith, J. Nyland, P. Caudill, et al. “Dynamic trunk stabilization : a conceptual back injury prevention program for vollryball athletes”, J Orthop Sports Phys Ther, 38: 703-20, 2008. DOI: http://dx.doi.org/10.2519/jospt.2008.2814
  • [8] J. H. Kim, Y. H. Lee, J. G. Lee, “Effects of multifidus muscle volume in patient of lumbar pain according to lumbar exercise methods”, Korea Journal of Sports Science, 17: 1003-1014, 2008.
  • [9] M. Vezina, C. Hubley-Kozey, “Muscle activation in therapeutic exercises to improve trunk stability”, Arch Phys Med Rehabil, 81: 1379-1379,2000. DOI: http://dx.doi.org/10.1053/apmr.2000.16349
  • [10] D. S. Ko, G, Y. Kim,C. G. Lee, “Changes in balance ability and muscle thickness of the transverse abdominis and multifidus of elderly females after eight weeks of the lumbar stabilization exercise”, Korea Journal of Biomechanics, 19: 689-896, 2009. DOI: http://dx.doi.org/10.5103/KJSB.2009.19.4.689
  • [11] H. Y. Lee, “Activation of trunk muscles during stabilization exercises in four-point kneeling”. J Kor Soc Phys Ther, 22(5):33-38, 2010.
  • [12] R. Crotnwell, A. Schultz, R. Beck, “Loads in the lumbar trunk during level walking”, J Orthop Res, 7: 371-387, 1989. DOI: http://dx.doi.org/10.1002/jor.1100070309
  • [13] D. H. Jung, E. K. Go, S. J. Kim, “Comparison of abdominal muscles thickness during single leg holding exercise on stable surface and on a foam roller using ultrasound imaging”, Korea Journal of Sports Biomechanics, 20: 415-420, 2010. DOI: http://dx.doi.org/10.5103/KJSB.2010.20.4.415
  • [14] C. Kisner, L. Colby, Therapeutic exercise foundations and techniques. 3rd ed. Philadelphia : F. A. Davis Company. 1996. 한 종 만 (Han, Jong-Man) [정회원] • 2002년 8월 : 대구대학교 재활과 학대학원 물리치료전공 (이학석 사) • 2007년 8월 : 경상대학교 신경생 물학과 해부학교실 (이학박사) • 2011년 5월 ~ 현재 : 대한임상 전기생리학회 심사위원 • 2009년 3월 ~ 현재 : 전남과학 대학교 물리치료학과 교수
  • <관심분야> 인체해부학, 신경과학
  • 김 금 숙 (Kim, Keum-Sook) [정회원] • 2001년 2월 : 연세대학교 재활학 과 (작업치료전공) • 2009년 2월 : 연세대학교 생활환 경대학원 아동가족학과 (문학석사) • 2014년 2월 : 전남대학교 의학과 박사 수료 • 2001년 3월 ~ 2009년 1월 : 서 울재활병원, 서울 e병원, 원광아 동발달연구소 작업치료사
  • • 2009년 3월 ~ 2013년 2월 : 전남과학대학교 작업치료과 교수
  • • 2013년 3월 ~ 현재 : 혜전대학교 작업치료과 교수
  • <관심분야> 감각통합치료, 신경과학

Loading...